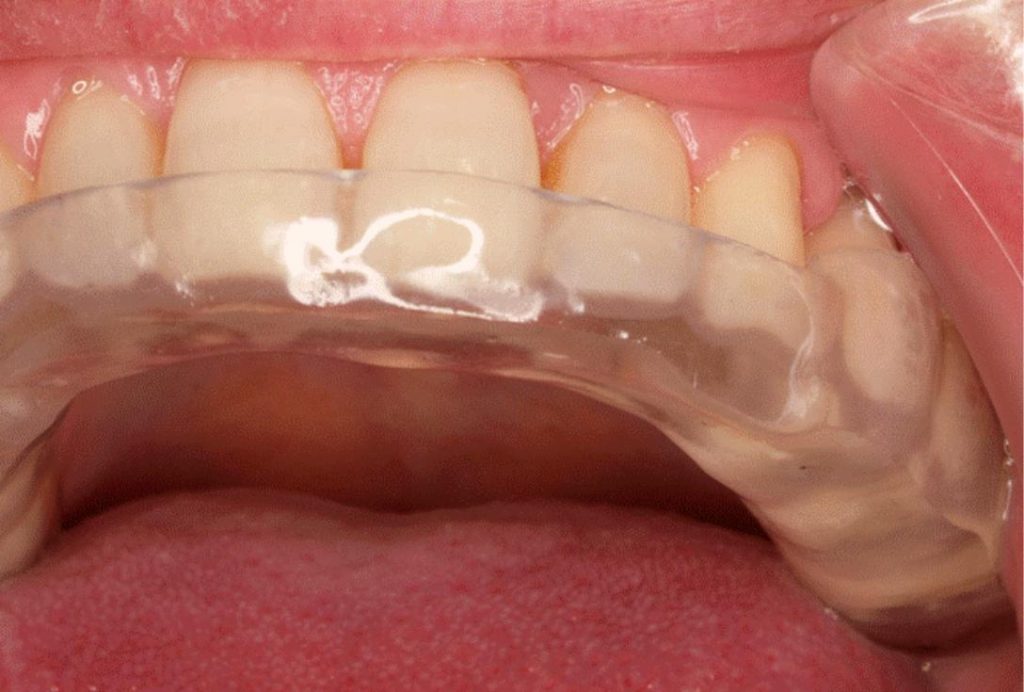
El bruxismo, un trastorno que afecta a millones, encuentra una nueva aliada en la tecnología: la férula fresada. Este innovador dispositivo, fabricado con precisión mediante fresado CAD/CAM, ofrece un ajuste personalizado y superior para el tratamiento del bruxismo. A diferencia de las férulas tradicionales, la férula fresada garantiza una mayor comodidad, una protección más efectiva de los dientes y una mejor adaptación a la anatomía individual de cada paciente. Descubre cómo esta tecnología de vanguardia está revolucionando el tratamiento de este problema común y mejorando significativamente la calidad de vida de quienes lo padecen.
Llega la precisión a la terapia del bruxismo con férulas fresadas
Tabla de contenidos
Ventajas de las férulas fresadas sobre las férulas tradicionales
Las férulas fresadas para bruxismo ofrecen una mayor precisión en su ajuste que las férulas tradicionales, fabricadas mediante métodos más artesanales. Esta precisión se traduce en una mayor comodidad para el paciente, ya que la férula se adapta perfectamente a la anatomía de sus dientes, minimizando las molestias y permitiendo un uso más prolongado y efectivo. A diferencia de las férulas hechas a mano, que pueden presentar imperfecciones o irregularidades, las fresadas garantizan una superficie lisa y uniforme, reduciendo el riesgo de irritación de las encías y mejorando la higiene bucal. La precisión también impacta en la eficacia del tratamiento, al distribuir la presión de forma óptima y proteger de manera más eficiente los dientes del desgaste y la tensión muscular.
Materiales de alta calidad y durabilidad en las férulas fresadas
Las férulas fresadas para bruxismo se fabrican generalmente con resinas de alta calidad, seleccionadas por su resistencia, durabilidad y biocompatibilidad. Estos materiales son capaces de soportar las fuerzas de la masticación durante un periodo prolongado sin sufrir deformaciones o fracturas. Además, su resistencia al desgaste asegura una larga vida útil de la férula, evitando la necesidad de reemplazos frecuentes. La precisión del fresado permite un menor grosor de material manteniendo la resistencia, lo que contribuye a una mayor comodidad del paciente. Las resinas utilizadas son generalmente libres de BPA y otros compuestos tóxicos, garantizando la seguridad para la salud bucal.
Proceso de fabricación de las férulas fresadas
La fabricación de una férula fresada comienza con la toma de una impresión digital precisa de la arcada dental del paciente. Esta impresión se utiliza para crear un modelo digital 3D, que posteriormente se utiliza para programar el proceso de fresado. Una máquina CNC de alta precisión talla la férula en un bloque de resina, siguiendo las especificaciones del modelo digital. Este proceso automatizado garantiza la repetibilidad y la exactitud en la fabricación de la férula, minimizando las variaciones entre unidades y optimizando el ajuste final. El resultado final es una férula personalizada y altamente precisa, adaptada perfectamente a la anatomía individual del paciente.
Beneficios adicionales de usar férulas fresadas para bruxismo
Además de la precisión y la comodidad, las férulas fresadas ofrecen otros beneficios. La estética es un factor importante, ya que estas férulas pueden fabricarse en una amplia gama de colores, permitiéndoles integrarse de manera discreta con los dientes naturales. Asimismo, la fácil limpieza de su superficie lisa es crucial para mantener la higiene oral y prevenir la acumulación de placa bacteriana. Finalmente, la durabilidad de la férula se traduce en un ahorro a largo plazo al reducir la necesidad de reemplazos frecuentes, lo cual representa un beneficio económico para el paciente.
El rol del odontólogo en el proceso de fabricación y ajuste de la férula
El odontólogo juega un papel fundamental en todo el proceso, desde el diagnóstico del bruxismo y la planificación del tratamiento, hasta la toma de la impresión, la supervisión del proceso de fabricación y el ajuste final de la férula. La experiencia del profesional es clave para garantizar que la férula se adapte correctamente a las necesidades individuales del paciente y que el tratamiento sea efectivo. El odontólogo también se encarga de educar al paciente sobre el uso correcto de la férula y la importancia de la higiene bucal para un tratamiento exitoso. Un seguimiento regular por parte del odontólogo es esencial para evaluar la eficacia del tratamiento y realizar los ajustes necesarios.
| Característica | Férula Fresada | Férula Tradicional |
|---|---|---|
| Precisión de ajuste | Alta, gracias al fresado CNC | Baja a media, dependiendo de la técnica artesanal |
| Comodidad | Mayor debido al ajuste preciso | Puede ser variable, con posibles puntos de presión |
| Durabilidad | Alta, gracias a los materiales de alta calidad | Variable, dependiendo del material y la fabricación |
| Estética | Buena, disponible en variedad de colores | Puede ser menos estética |
| Higiene | Fácil limpieza por su superficie lisa | Mayor dificultad en la limpieza por su textura |
¿Cómo funciona la férula de descarga para el bruxismo?
Interposición entre los dientes
La férula de descarga, también llamada placa de oclusal o protector bucal, actúa como una barrera física entre los dientes superiores e inferiores. Al colocarse sobre los dientes, previene el contacto directo entre las superficies oclusales durante el bruxismo, tanto durante el día como, especialmente, durante la noche. Esto reduce significativamente la fricción y la fuerza de la masticación que se ejerce sobre los dientes, evitando el desgaste excesivo y el daño a las estructuras dentales.
- Reduce la fuerza de impacto: Distribuye la presión ejercida sobre los dientes durante la contracción muscular.
- Protege el esmalte dental: Evita el desgaste y la abrasión del esmalte causado por el roce constante de los dientes.
- Minimiza el daño a las restauraciones: Protege las coronas, carillas, y otros trabajos dentales de fracturas o desprendimientos.
Reducción de la presión muscular
El bruxismo implica una actividad muscular excesiva en la mandíbula. Al usar una férula, se disminuye la tensión muscular al relajar la articulación temporomandibular (ATM). La férula proporciona una superficie uniforme y suave, evitando que los músculos masticadores se contraigan con tanta fuerza. Esto ayuda a aliviar el dolor y la sensibilidad muscular asociados con el bruxismo.
- Disminuye la tensión en la ATM: Reduce la presión sobre la articulación temporomandibular, previniendo dolores de cabeza y de oído.
- Alivia la fatiga muscular: Permite que los músculos de la mandíbula se relajen durante la noche.
- Mejora la función muscular: A largo plazo, contribuye a un patrón de masticación más saludable.
Reposición del espacio interoclusal
En algunos casos, la férula se diseña para ajustar el espacio entre los dientes superiores e inferiores (espacio interoclusal). Este ajuste puede ayudar a mejorar la posición de la mandíbula y la alineación de los dientes, contribuyendo a la relajación muscular y a una mejor función de la ATM. La férula puede tener un grosor determinado para conseguir este efecto, dependiendo de la necesidad individual de cada paciente.
- Corrección de la oclusión: Ayuda a corregir una mala alineación dental que puede estar contribuyendo al bruxismo.
- Mejora la posición mandibular: Influye en la postura mandibular y facilita la relajación de los músculos.
- Reduce la interferencia oclusal: Elimina puntos de contacto que podrían estar generando tensión en la mandíbula.
Prevención del desgaste dental
El bruxismo, si no se trata, provoca un desgaste significativo del esmalte dental, llegando incluso a la dentina y la pulpa. La férula actúa como una capa protectora, absorbiendo la fuerza del bruxismo y evitando este desgaste progresivo. De esta manera, se conservan las estructuras dentales y se evita la necesidad de tratamientos restaurativos más complejos en el futuro.
- Protección del esmalte: Previene la erosión y la abrasión del esmalte dental.
- Prevención de fracturas dentales: Reduce el riesgo de fracturas de dientes por la fuerza del bruxismo.
- Mantenimiento de la estética dental: Ayuda a preservar la apariencia natural de los dientes.
Mejora del sueño
El bruxismo, a menudo, se manifiesta durante el sueño, interrumpiéndolo y generando problemas para descansar correctamente. La férula ayuda a reducir o eliminar los sonidos y movimientos de la mandíbula durante la noche, permitiendo un sueño más reparador y tranquilo. Este efecto positivo en el descanso también contribuye indirectamente a una mejor salud general y a la disminución de la tensión muscular.
- Sueño más reparador: Minimiza las interrupciones del sueño causadas por el bruxismo.
- Reducción de la fatiga: Mejora la calidad del sueño, lo que se traduce en menor fatiga diurna.
- Mejora del estado de ánimo: Un sueño adecuado impacta positivamente en el humor y la concentración.
¿Qué puede ocasionar la férula al usarla por mucho tiempo?
Atrofia Muscular
El uso prolongado de una férula puede provocar atrofia muscular en la zona inmovilizada. Al no utilizar los músculos, estos pierden masa y fuerza, lo que dificulta la movilidad y la recuperación una vez retirada la férula. Este efecto es más pronunciado cuanto mayor sea el tiempo de inmovilización y la severidad de la restricción del movimiento.
- Debilitamiento muscular: Pérdida significativa de fuerza y resistencia.
- Reducción del tamaño muscular: Disminución del volumen muscular, visible a simple vista.
- Dificultad para recuperar la movilidad: Rehabilitación más larga y compleja tras la retirada de la férula.
Rigidez Articular
La inmovilización prolongada puede llevar a la rigidez articular. Las articulaciones necesitan movimiento regular para mantener su flexibilidad y lubricación. La falta de movimiento provoca la formación de adherencias y la disminución de la producción de líquido sinovial, resultando en una disminución del rango de movimiento y dolor.
- Reducción del rango de movimiento: Dificultad para flexionar o extender completamente la articulación.
- Dolor articular: Sensación de rigidez y dolor al intentar mover la articulación.
- Contracturas musculares: Acortamiento de los músculos circundantes a la articulación.
Problemas Circulatorios
El uso de una férula demasiado ajustada o durante un periodo excesivo puede comprimir los vasos sanguíneos y los nervios, causando problemas circulatorios. Esto puede manifestarse como entumecimiento, hormigueo, hinchazón, palidez o incluso dolor intenso en la extremidad afectada. En casos severos, puede llevar a la necrosis tisular (muerte del tejido).
- Hinchazón: Acumulación de líquido en la extremidad inmovilizada.
- Entumecimiento y hormigueo: Sensación de pérdida de sensibilidad.
- Palidez o cianosis: Cambio de color de la piel, indicando falta de irrigación sanguínea.
Problemas de Piel
La férula, especialmente si no está bien acolchada o se usa durante periodos prolongados, puede causar irritación, llagas o úlceras por presión en la piel. La falta de ventilación y el roce constante contribuyen a la maceración de la piel y aumentan el riesgo de infección.
- Enrojecimiento e irritación: Inflamación de la piel en zonas de contacto con la férula.
- Llagas y úlceras por presión: Heridas en la piel causadas por la presión continua.
- Infecciones cutáneas: Complicaciones derivadas de las llagas o por mala higiene.
Dependencia de la Férula
El uso prolongado de una férula puede llevar a una dependencia psicológica y física de la misma. El paciente puede experimentar miedo a mover la extremidad sin la férula, incluso cuando ya no es médicamente necesaria. Esto puede retrasar significativamente el proceso de rehabilitación y la recuperación de la funcionalidad completa.
- Miedo a la movilidad: Inseguridad y ansiedad al intentar moverse sin la férula.
- Disminución de la confianza en la propia capacidad: Dependencia excesiva del soporte externo.
- Retraso en la rehabilitación: Dificultad para recuperar la movilidad y la fuerza muscular.
¿Cómo debe quedar una placa para bruxismo?
Una placa para bruxismo, también conocida como férula de descarga o placa oclusal, debe fabricarse de forma personalizada para adaptarse perfectamente a la arcada dentaria del paciente. Su diseño y características son cruciales para su efectividad. No debe ser demasiado gruesa ni demasiado delgada, ni demasiado grande ni demasiado pequeña. La comodidad y la adaptación precisa son fundamentales para asegurar el cumplimiento del tratamiento y la efectividad de la placa. Debe cubrir completamente las superficies oclusales de los dientes, protegiéndolos del desgaste y la fricción. La placa debe ser lo suficientemente resistente para soportar las fuerzas de la masticación durante la noche, pero lo suficientemente flexible como para no causar daño a los dientes o la articulación temporomandibular.
Materiales de fabricación
La elección del material es fundamental para la calidad y durabilidad de la placa. Los materiales más comunes son el acrílico y el termoplástico, ambos biocompatibles y resistentes. El acrílico ofrece mayor resistencia y durabilidad, mientras que el termoplástico es más flexible y cómodo para algunos pacientes. La elección dependerá de las necesidades individuales y la preferencia del odontólogo. Se debe buscar un material que sea fácil de limpiar y que no provoque reacciones alérgicas.
- Acrílico: Alta resistencia y durabilidad. Necesita un proceso de laboratorio más complejo.
- Termoplástico: Mayor flexibilidad y comodidad. Posiblemente menor durabilidad que el acrílico.
- Consideraciones adicionales: El material debe ser inodoro, insípido y no poroso para evitar la acumulación de bacterias.
Adaptación y ajuste
La placa debe ajustarse perfectamente a la arcada dentaria, cubriendo todas las superficies oclusales de los dientes. No debe haber espacios entre la placa y los dientes, ya que esto podría reducir su efectividad y provocar incomodidad. Es posible que se requieran ajustes posteriores a la colocación inicial para garantizar un ajuste óptimo y la máxima comodidad. Un buen ajuste minimiza los puntos de presión y evita problemas de mordida incorrecta.
- Ajuste preciso: Minimiza puntos de presión y molestias.
- Cobertura completa: Protección total de las superficies oclusales.
- Ajustes posteriores: Posible necesidad de ajustes para optimizar la comodidad y la función.
Diseño y forma
El diseño de la placa debe ser cómodo y funcional. Debe permitir una oclusión (mordida) estable y confortable. El grosor de la placa debe ser uniforme, evitando áreas demasiado gruesas que podrían causar incomodidad o interferir con la mordida. El diseño de la placa también puede variar dependiendo de la severidad del bruxismo y las necesidades individuales del paciente.
- Grosor uniforme: Evita áreas de presión y mejora la comodidad.
- Diseño personalizado: Adaptado a la anatomía individual del paciente.
- Oclusión estable y cómoda: Facilita una mordida correcta y sin interferencias.
Funcionalidad y eficacia
La principal función de la placa es proteger los dientes del desgaste y la fricción causada por el bruxismo. Una placa bien diseñada debe reducir la tensión en la articulación temporomandibular (ATM) y disminuir los síntomas asociados al bruxismo, como dolor de cabeza, dolor facial y dolor muscular. El objetivo es que el paciente pueda utilizar la placa cómodamente durante toda la noche sin experimentar molestias.
- Protección dental: Reduce el desgaste y la fractura de los dientes.
- Reducción de la tensión en la ATM: Alivia el dolor y la disfunción de la articulación.
- Alivio de los síntomas: Disminuye el dolor de cabeza, facial y muscular asociados al bruxismo.
¿Es bueno dormir con férula?
Dormir con férula
Si es bueno o no dormir con una férula depende completamente del tipo de férula, la razón por la que se usa y la condición médica específica del paciente. No existe una respuesta universal. Algunas férulas están diseñadas específicamente para usarse durante la noche para mejorar la alineación, la recuperación o la estabilización de una parte del cuerpo. Otras pueden ser incómodas o incluso perjudiciales si se usan mientras se duerme. Es fundamental seguir las instrucciones del médico o fisioterapeuta que recetó la férula.
¿Qué tipos de férulas se utilizan durante la noche?
Existen varios tipos de férulas que pueden recomendarse para usar durante la noche. Estas incluyen férulas para el túnel carpiano, férulas para el pie caído, férulas para fracturas (en algunos casos), férulas para la corrección de deformidades en los dedos o para el tratamiento de tendinitis. El uso nocturno suele estar indicado para mantener una posición correcta durante el descanso y así promover la cicatrización o el alivio del dolor. La decisión de usar una férula durante la noche siempre debe basarse en una evaluación médica individual.
- Férulas para el túnel carpiano: Ayudan a mantener la muñeca en una posición neutral, reduciendo la presión sobre el nervio mediano.
- Férulas para el pie caído: Sostienen el pie y el tobillo en una posición adecuada para prevenir la caída del pie durante la noche.
- Férulas para dedos: Pueden utilizarse para corregir deformidades o para inmovilizar un dedo lesionado.
¿Cuáles son los beneficios de dormir con férula?
Los beneficios de dormir con una férula dependen del tipo de férula y la condición que trata. En algunos casos, una férula nocturna puede mejorar significativamente la calidad del sueño al reducir el dolor y la incomodidad. Además, puede ayudar a mantener una correcta alineación de la articulación o el miembro afectado, facilitando la recuperación y reduciendo la inflamación. Es esencial que el paciente siga las instrucciones del profesional sanitario para maximizar los beneficios y minimizar los riesgos.
- Reducción del dolor: Al inmovilizar la zona afectada, se reduce el estrés y el movimiento, lo que disminuye el dolor.
- Mejora de la alineación: Algunas férulas ayudan a corregir la posición de las articulaciones y los huesos durante la noche.
- Reducción de la inflamación: Al limitar el movimiento, se reduce la inflamación en la zona afectada.
¿Cuáles son los riesgos de dormir con férula?
Aunque el uso de una férula nocturna puede ser beneficioso, también existen riesgos potenciales. La presión excesiva o una férula mal ajustada puede causar molestias, irritación de la piel, entumecimiento, hormigueo, o incluso daño a los nervios o tejidos. Es crucial que la férula sea de la talla adecuada y esté correctamente ajustada. Si se experimenta algún tipo de dolor o incomodidad, se debe consultar al médico o fisioterapeuta.
- Irritación cutánea: El contacto prolongado con la férula puede causar irritación o llagas en la piel.
- Disminución del flujo sanguíneo: Una férula demasiado ajustada puede restringir el flujo sanguíneo a la zona afectada.
- Dolor o incomodidad: Una férula mal ajustada o inadecuada puede causar dolor o incomodidad.
¿Cómo elegir la férula adecuada para dormir?
La elección de la férula adecuada depende enteramente del diagnóstico y las recomendaciones del médico o fisioterapeuta. No se debe comprar una férula sin consultar a un profesional. El profesional sanitario evaluará la condición específica, considerará la comodidad y la funcionalidad de la férula, y se asegurará de que la férula sea del tamaño y tipo correcto para el paciente. Se deben seguir cuidadosamente las instrucciones del profesional para el uso y cuidado de la férula.
- Evaluación médica: Es fundamental una evaluación médica para determinar la necesidad y el tipo de férula.
- Ajuste adecuado: La férula debe estar bien ajustada pero sin causar incomodidad ni restricción excesiva del flujo sanguíneo.
- Materiales de calidad: Se debe optar por férulas fabricadas con materiales transpirables y de buena calidad.
¿Cuándo debo dejar de usar una férula para dormir?
La duración del uso de una férula para dormir varía según el caso. Sólo un médico o fisioterapeuta puede determinar cuándo es seguro dejar de usar la férula. Se debe seguir estrictamente su consejo y no interrumpir el tratamiento sin su autorización. Es importante informar a su médico o fisioterapeuta sobre cualquier cambio en su condición o si se experimenta algún tipo de malestar mientras se utiliza la férula.
- Indicaciones del profesional: Se debe seguir estrictamente las indicaciones del médico o fisioterapeuta para la duración del tratamiento.
- Evaluación de la mejoría: El profesional sanitario evaluará la evolución y decidirá cuándo es seguro interrumpir el uso de la férula.
- Control del dolor y la inflamación: La disminución significativa del dolor y la inflamación puede ser una señal de que se puede reducir o eliminar el uso de la férula.
Preguntas Frecuentes
¿Qué tan precisa es realmente una férula fresada para el bruxismo?
La precisión de una férula fresada para el bruxismo es significativamente mayor que la de una férula hecha a mano. Las técnicas de fresado CAD/CAM permiten una fabricación altamente precisa basada en un modelo digital de la boca del paciente, resultando en un ajuste más cómodo y efectivo. Aunque la precisión no es perfecta al 100%, la tecnología minimiza errores y asegura una adaptación superior a las características individuales de cada paciente, mejorando la eficacia del tratamiento.
¿La precisión de la férula elimina por completo los síntomas del bruxismo?
Si bien la precisión de una férula fresada contribuye a una mayor eficacia en el tratamiento del bruxismo, no garantiza la eliminación completa de los síntomas. La precisión mejora la protección de los dientes y la distribución de la fuerza de la mordida, reduciendo el desgaste y el dolor. Sin embargo, la eficacia depende de varios factores, incluyendo la severidad del bruxismo, la adherencia del paciente al uso de la férula, y la presencia de otros factores contribuyentes, como el estrés.
¿Existen diferencias de precisión entre diferentes fabricantes de férulas fresadas?
Sí, existen diferencias en la precisión entre diferentes fabricantes de férulas fresadas. La calidad de la tecnología utilizada, el proceso de escaneado digital, la experiencia del laboratorio y el control de calidad influyen en la precisión final del producto. Es importante elegir un fabricante reconocido con una buena reputación y que utilice tecnología de punta para garantizar la máxima precisión y calidad en la férula.
¿Cómo influye la precisión de la férula en la comodidad del paciente?
Una mayor precisión en la férula se traduce en una mayor comodidad para el paciente. Una férula que se ajusta perfectamente a la arcada dental evita puntos de presión, rozaduras y molestias. Esta comodidad es crucial para asegurar el uso consistente de la férula, factor clave para el éxito del tratamiento del bruxismo. Una férula cómoda es más probable que sea usada correctamente, maximizando así los beneficios del tratamiento.






